FAQs About All-on-4 and Full-Arch Dental Implants in Toronto | Dr. Onur Cavus

Understanding Full-Arch Implant Solutions With Dr. Onur Cavus, BDS, PhD

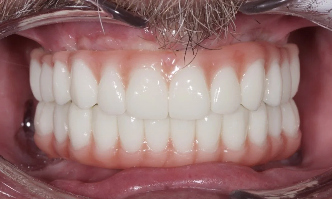
Replacing a full set of missing teeth can restore both function and confidence.

At Implant Dentistry Toronto, Dr. Cavus offers All-on-4 and full-arch implant treatments — modern solutions that provide fixed, natural-looking teeth supported by dental implants.

What Are All-on-4 Dental Implants?

All-on-4 is a treatment concept where an entire arch of teeth is supported by four strategically placed implants.

It’s ideal for patients missing most or all teeth. Unlike removable dentures, All-on-4 restorations are fixed, offering greater comfort, stability, and function.

Learn more about Dental Implants in Toronto

How Are All-on-4 Implants Different From Traditional Implants?

Traditional implant cases may require six to eight implants and bone grafting.

All-on-4 uses four implants positioned at specific angles to maximize contact with existing bone — often avoiding grafting and reducing healing time.

Can I Really Get Teeth in a Day?

Yes — a provisional (temporary) bridge can often be attached on the same day as surgery.

This allows you to leave the office with a new smile while your implants integrate with the bone.

The final zirconia bridge is placed once healing is complete.

Am I a Candidate for All-on-4?

Ideal candidates:

  • Missing most or all teeth in an arch

  • Have sufficient bone (grafting rarely required)

  • In good general and oral health

  • Non-smokers or willing to quit

A full consultation with CBCT imaging helps confirm eligibility.

Read more about Bone Grafting and Sinus Lifting

Is the Procedure Painful?

Most patients experience minimal discomfort.

Procedures are performed with local anesthesia and, when appropriate, IV sedation for comfort.

Post-operative soreness is typically mild and managed with medication.

Explore Sedation for Dentistry in Toronto  and IV sedation

How Long Do All-on-4 Implants Last?

With proper hygiene and maintenance, All-on-4 implants can last decades.

The prosthetic teeth may need replacement after 10–15 years depending on wear.

Regular cleanings and checkups are essential for long-term success.

How Much Do All-on-4 Implants Cost in Toronto?

Costs vary depending on materials, complexity, and additional procedures such as extractions or grafting.

At Implant Dentistry Toronto, you’ll receive a detailed treatment plan and transparent estimate during your consultation.

Are There Financing Options?

Yes — flexible payment plans and financing are available to make full-arch treatment more accessible.

Our team will review all financial options during your planning appointment.

How Do I Care for My New Teeth?

Treat your All-on-4 bridge like natural teeth:

  • Brush twice daily with a soft brush

  • Use a water flosser or interdental brushes

  • Schedule professional cleanings

  • Avoid biting hard objects

What Are the Risks or Complications?

Complications are uncommon when performed by an experienced dentist.

Possible risks include infection, implant failure, or healing issues, which can be minimized with good planning and post-care.

Considering All-on-4 or Full-Arch Dental Implants in Toronto?

If you’re exploring permanent solutions for missing teeth, Dr. Onur Cavus, BDS, PhD, can help determine if All-on-4 is right for you.

With extensive experience in implant and surgical dentistry, he provides comprehensive treatment planning and care.

Book Your Consultation 

Previous
Previous

Understanding Moderate IV Sedation in Dentistry | Toronto Sedation Dentist – Dr. Onur Cavus

Next
Next

Surgical Removal of Wisdom Teeth: What You Need to Know