Immediate Implants & Same-Day Teeth in Toronto & North York

Replace Teeth Fast — With Precision, Esthetics, and Long-Term Stability

Serving patients across Toronto and North York

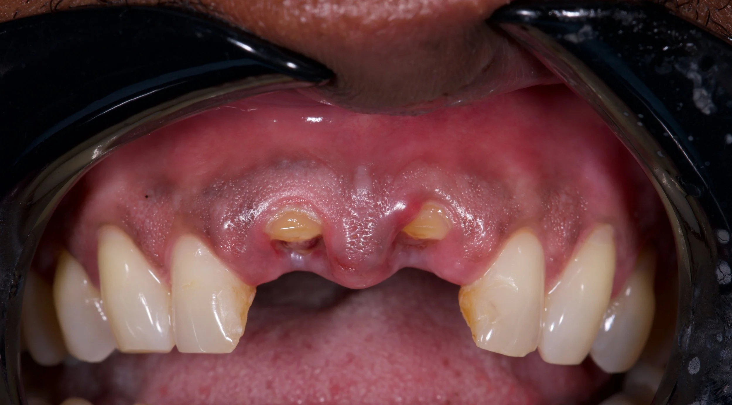
Missing or hopeless teeth don’t have to mean months without a smile. With immediate implants and same-day provisional teeth, Dr. Onur Cavus, BDS, PhD, can often remove a tooth, place an implant, and fit a temporary fixed tooth or bridge in one visit — when your anatomy and bite allow.

Book Your Consultation

Who Is Immediate Implants and Same Day Teeth For?

  • A recently fractured, infected, or failing tooth that must be removed

  • Front-tooth (esthetic zone) replacements where appearance matters most

  • Patients seeking fixed teeth quickly without wearing a removable temporary

  • Candidates with adequate bone and healthy gums (or correctable with minor grafting)

Not everyone is a candidate — your plan is confirmed after clinical and radiological exam and could include 3D imaging.

Why Patients Choose Dr. Onur Cavus

  • Surgical + Prosthetic Expertise: nearly two decades in implants, extractions, and soft-tissue management

  • Aesthetic-Zone Focus: immediate provisionalization, tissue shaping, and natural smile design

  • Comfort Options: local anesthesia, nitrous oxide, oral sedation, and moderate IV sedation (you remain conscious but deeply relaxed)

  • Digital Planning: Whenever neccesary, Dr. Cavus uses CBCT-guided positioning for precision and stability

How Same-Day Implants Work

(Step-by-Step)

  1. Assessment & Planning – Clinical exam, photos, and 3D imaging to evaluate bone volume, bite, and smile line.

  2. Atraumatic Extraction – Gentle removal to preserve socket walls and soft tissue.

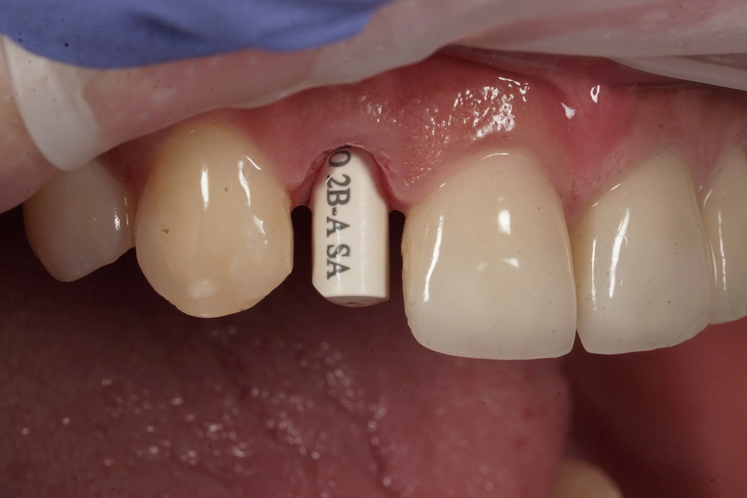
  3. Immediate Implant Placement – The implant is positioned for primary stability (typically 35–45 N cm).

  4. Socket Gap/Biomaterial Support – Any gap between implant and socket wall (“jumping gap”) is grafted with bone substitute.

  5. Soft-Tissue Optimization – In esthetic-zone cases or thin-biotype tissue, connective tissue grafting (CTG) is performed to enhance long-term stability and achieve the most natural, esthetic outcome.

  6. Provisionalization Options:

    • In many cases, a same-day temporary crown or bridge is attached out of heavy bite to protect healing.

    • In select cases, Dr. Cavus uses a refined protocol: after immediate implant placement, socket-gap grafting, and CTG, a digital impression is taken. A lab-fabricated provisional crown is then designed to match the original socket anatomy and inserted within a few days, providing optimal contour and soft-tissue shaping.

  7. Final Tooth – After integration (typically 8–12 weeks), a custom zirconia or ceramic crown/bridge is delivered.

Explore More Here:

We present Internal links: Dental Implants | Aesthetic-Zone Implants | Gum Grafting | Sedation Dentistry

In the Esthetic Zone: Details That Matter

  • Immediate provisionalization to sculpt the gumline from day one

  • Socket-seal abutments to maintain tissue architecture

  • Socket-gap bone grafting to support the facial plate

  • Connective tissue grafting (CTG) for thin or translucent tissue — improving long-term stability and natural esthetics

Benefits at a Glance

  • Speed: leave with a fixed provisional the same day (when safe)

  • Tissue preservation: maintains bone and gum contours

  • Confidence: no removable flipper during healing

  • Fewer visits: streamlined treatment sequence

Risks, Limits & Candidacy

  • Immediate loading requires high primary stability and careful bite control

  • Bruxism, infection, or thin facial bone may require a staged approach

  • Smoking and uncontrolled systemic conditions reduce success rates

  • Your plan may include staged grafting or delayed loading for predictability

Sedation & Comfort

You’ll be numb and comfortable. For anxious patients or longer visits, moderate IV sedation is available — you remain responsive and breathe on your own, yet most patients remember little of the procedure.

Aftercare & Follow-Up

  • Soft diet and careful hygiene around the provisional

  • Avoid biting directly on the provisional early in healing

  • Attend review visits for tissue shaping and final restoration

Cost & Consultation

Fees depend on tooth position, grafting needs, provisional type, and final materials. You’ll receive transparent options after consultation. Flexible payment plans are available.

Book Your Consultation

Answers to Your Questions About Immediate Placement and Same Day Teeth

1. Will I really get a tooth the same day?

Often yes — a temporary fixed tooth is possible when the implant achieves strong stability and your bite can be adjusted safely.

2. Will it look natural right away?

Your provisional looks very natural and helps shape the gum. The final restoration is crafted later for perfect match and polish.

3. Can this be done right after extraction?

Yes. Immediate placement following gentle extraction is common when socket walls are intact and infection controlled.

4. What if I don’t have enough bone?

Small defects can be managed with socket-gap bone grafting; larger deficiencies may need staged grafting before loading.

5. Is IV sedation the same as being asleep?

No — this is moderate conscious sedation. You’re deeply relaxed and comfortable but remain responsive and breathe normally.

Immediate Loading in Full-Arch Implant Treatments

The same principles of immediate implant placement and provisionalization are also applied in full-arch (All-on-4 and All-on-X) implant treatments, where patients can often receive a fixed provisional bridge on the same day as surgery. This approach allows immediate function and esthetics while the implants integrate with the bone.

Learn more about All-on-4 and Full-Arch Dental Implants in Toronto and North York.

Restore Your Smile with Precision and Confidence

If you’ve lost a tooth or need one removed and want a faster, more natural-looking replacement, immediate implant treatment may be your ideal solution.

Serving Toronto and North York, Dr. Onur Cavus, BDS, PhD, combines surgical precision, advanced tissue management, and digital technology to deliver lasting, esthetic results — often with a same-day fixed tooth.

Book your consultation today to discover whether immediate implants and same-day teeth are right for you.

📞 Call (437) 808-0888 or book online to schedule your personalized evaluation.

Frequently Asked Questions

How long until the final crown or bridge?
Most patients receive their final crown or bridge 8–12 weeks after implant placement, once bone integration and tissue healing are complete.
Can back teeth be done the same day?
In select cases, yes. However, because chewing forces are higher on back teeth, Dr. Cavus may recommend a protective immediate provisional or a staged approach to ensure long-term stability.
How do I care for the provisional?
Stick to a soft diet, avoid biting directly on the provisional, maintain excellent hygiene, and attend all follow-up visits for tissue monitoring and adjustment.
What if the implant doesn’t reach required torque?
If the implant doesn’t achieve ideal primary stability, a delayed-loading plan will be chosen. This allows healing before restoration, ensuring safety and long-term predictability.