Gum Grafting in Toronto & North York

Restore Your Gums, Protect Your Smile

Serving Toronto, North York & Surrounding Communities

Gum recession is a common condition that exposes the roots of your teeth, leading to sensitivity, discomfort, and long-term structural damage. It also affects the stability of dental implants and the esthetics of your smile.

At Implant Dentistry Toronto, Dr. Onur Cavus, BDS, PhD, offers advanced gum grafting treatments to restore and strengthen gum tissue using either your own tissue or biocompatible graft materials—customized to your individual needs and goals.

Whether you’re addressing natural gum recession or preparing for implant placement, our goal is to help you regain healthy, protective, and esthetically pleasing gum tissue.

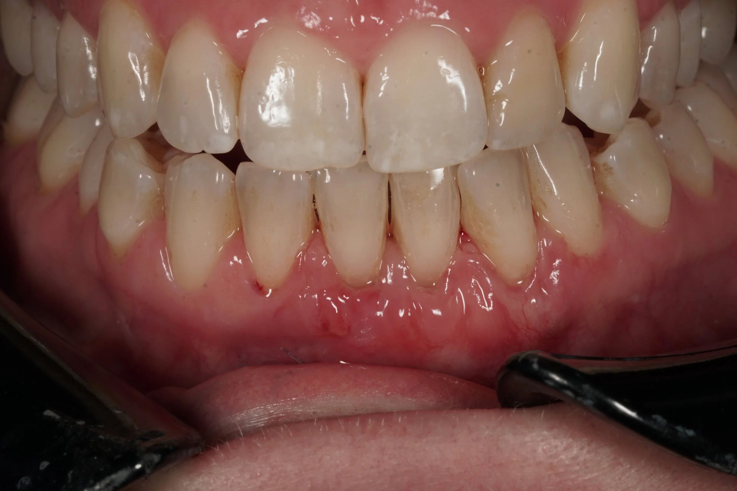
Significant recessions and root exposure of lower incisor teeth. Due to root exposure, patient's cleansing was impaired causing gum inflammation, gingivitis
2 weeks after minimally invasive tunnel approach for gum grafting, connective tissue graft, showing thick and healthy newly formed gums successfully treated recessions

What Is Gum Recession?

Gum recession occurs when the gum tissue surrounding your teeth wears away or pulls back, exposing the tooth roots. It may develop slowly and often goes unnoticed until it causes tooth sensitivity, root exposure, or esthetic concerns.

Common Causes of Gum Recession:

  • Periodontal (gum) disease

  • Aggressive tooth brushing

  • Thin or delicate gum tissue

  • Genetic predisposition

  • Orthodontic tooth movement

  • Tooth loss or trauma

If left untreated, gum recession can progress, leading to bone loss, root decay, and difficulty maintaining oral hygiene.

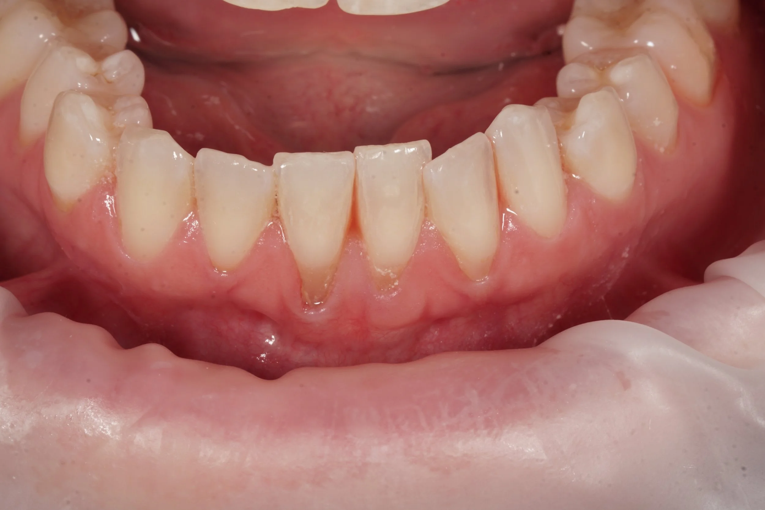
Significant recessions and root exposure of lower incisor teeth. Another problem shown in this image is thin gingival biotype, thin gum tissue, leading to further recession.
Significant recessions and root exposure of lower incisor teeth. Due to root exposure, patient's cleansing was impaired causing gum inflammation, gingivitis

Why Gum Tissue Matters for Dental Implants

For patients missing teeth, adequate gum thickness and volume are essential for long-term implant success. A healthy, well-attached band of gum tissue creates a stable seal around the implant, protects against infection, and supports a natural-looking smile.

If you’ve experienced bone or gum loss from previous extractions or disease, Dr. Cavus may recommend gum grafting before or during implant placement to achieve optimal long-term results.

What Is Gum Grafting?

Gum grafting is a minor surgical procedure that rebuilds and strengthens gum tissue. It helps:

  • Cover exposed tooth roots

  • Increase gum thickness

  • Improve esthetic harmony around teeth and implants

  • Prevent further recession or bone loss

  • Reduce root sensitivity

  • Create stable soft tissue around dental implants

This treatment can dramatically improve both comfort and appearance while protecting teeth and implants from future damage.

Gum recession causing root exposure and root defect

Before

A composite filling done to treat the defect followed by a minimally invasive tunnelling technique for gum grafting

After

2 week after minimally invasive tunnel approach for gum grafting, connective tissue graft

2 weeks after surgery

Techniques Used at Implant Dentistry Toronto

1. Connective Tissue Graft (CTG)

The most widely used method. A small flap is created in the palate (roof of the mouth), and tissue is taken from beneath the surface. The graft is placed over the recessed area and sutured for natural integration.

Ideal for:

  • Root coverage

  • Enhancing gum volume

  • Esthetic (front) teeth

  • Implant soft tissue augmentation

2. Free Gingival Graft (FGG)

In this method, a thin layer of tissue is taken directly from the palate’s surface and placed in the graft area. It’s ideal for increasing keratinized tissue and stability rather than covering roots.

Ideal for:

  • Increasing gum thickness

  • Stabilizing tissue in lower front teeth

  • Creating strong attached gum around implants

3. Grafting with Biomaterials

For patients who prefer not to use their own palate tissue, Dr. Cavus offers high-quality donor tissue grafts and collagen-based biomaterials. These options are safe, sterile, and well-established in modern periodontal and implant dentistry.

Ideal for:

  • Patients with thin palates or multiple graft sites

  • Reducing donor-site discomfort

Gum Grafting for Implant Patients

When placing implants—especially in the front esthetic zone—soft tissue volume and quality are key for long-term success and beautiful outcomes.

Gum grafting around implants can:

  • Improve soft tissue contours

  • Prevent collapse of gum margins

  • Enhance esthetics and smile symmetry

  • Reinforce thin or mobile tissue

These refinements help ensure your implant restorations look natural and remain stable over time.

What to Expect During the Procedure

  • Duration: 60–90 minutes

  • Anesthesia: Local anesthesia; oral or IV sedation available for comfort

  • Downtime: 1–2 days of mild tenderness; full healing over several weeks

  • Follow-up: Sutures (if non-resorbable) are removed; healing is monitored closely

You’ll receive detailed post-operative instructions to ensure smooth healing. Most patients return to normal routines within a few days.

Alternatives & When Grafting May Not Be Necessary

In mild cases of gum recession, non-surgical options such as desensitizing agents or minor bite adjustments may suffice.

However, gum grafting remains the most reliable long-term solution for:

  • Progressive or severe recession

  • Implant esthetics

  • Thin or missing attached gum tissue

Dr. Cavus provides honest, evidence-based guidance to help you determine whether grafting is necessary in your case.

Why Choose Dr. Onur Cavus?

Comprehensive Planning – Every treatment is tailored for long-term function and esthetics.

Evidence-Based Approach – Techniques backed by current research and biomaterial science.

Comfort-Focused Care – Certified for IV sedation, ensuring every patient’s comfort and safety.

Serving patients across Toronto and North York, Dr. Cavus provides advanced soft tissue management with precision, care, and aesthetic detail.

Frequently Asked Questions

Is gum grafting painful?

Most patients experience only mild discomfort, similar to a scraped knee. Local anesthesia and optional sedation ensure a comfortable experience.

Can you graft without taking tissue from my palate?

Yes. We offer grafting with donor tissue or collagen membranes—ideal for patients needing multiple grafts or avoiding a second surgical site.

How long does healing take?

Initial healing occurs in 1–2 weeks. Full graft integration and tissue maturation take approximately 6–8 weeks, depending on your case.

Book Your Gum Grafting Consultation in Toronto & North York

If you’re experiencing gum recession, planning for dental implants, or seeking to improve the appearance of your smile, gum grafting may be the solution.

Dr. Onur Cavus welcomes patients from Toronto, North York, and surrounding communities.

Call us or book your consultation online — and explore your options for grafting with your own tissue or advanced biomaterials.

Common Questions About Gum Grafting

Gum recession can result from aggressive brushing, gum disease, thin gum tissue, genetics, or trauma. Identifying the cause helps prevent future issues.

Yes — gum grafting often improves esthetics by covering exposed roots, evening gum lines, and restoring balance around teeth and implants.

Failure is uncommon when performed under proper conditions. Good oral hygiene, avoiding smoking, and following post-op instructions help ensure success.

Local anesthesia is often enough, but IV or oral sedation is available for patients who prefer a more relaxed experience during the procedure.