0
Skip to Content
Implant Dentistry Toronto
About
Implantology
Dental implants
All on 4 Full Arch Implants
Bone Grafting
Sinus Lifting
Gum Grafting
FAQ
Sedation
Sedation Dentistry in Toronto
IV Sedation
Laughing Gas & Oral Sedation
Dentistry
Wisdom Teeth
Cases
Patient Resources
FAQs
Blog
Wisdom Teeth Removal Pre- and Post-Operative Instructions
Testimonials
Contact
Implant Dentistry Toronto
About
Implantology
Dental implants
All on 4 Full Arch Implants
Bone Grafting
Sinus Lifting
Gum Grafting
FAQ
Sedation
Sedation Dentistry in Toronto
IV Sedation
Laughing Gas & Oral Sedation
Dentistry
Wisdom Teeth
Cases
Patient Resources
FAQs
Blog
Wisdom Teeth Removal Pre- and Post-Operative Instructions
Testimonials
Contact
About
Folder: Implantology
Back
Dental implants
All on 4 Full Arch Implants
Bone Grafting
Sinus Lifting
Gum Grafting
FAQ
Folder: Sedation
Back
Sedation Dentistry in Toronto
IV Sedation
Laughing Gas & Oral Sedation
Folder: Dentistry
Back
Wisdom Teeth
Cases
Folder: Patient Resources
Back
FAQs
Blog
Wisdom Teeth Removal Pre- and Post-Operative Instructions
Testimonials
Contact
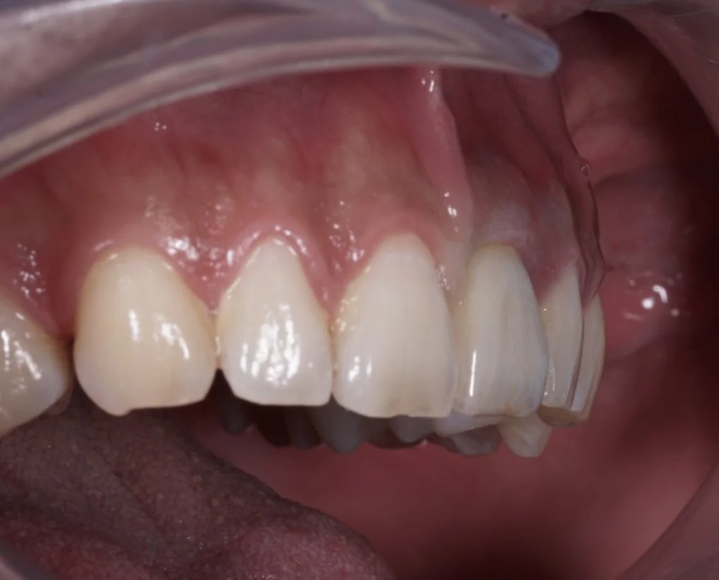
Dental implant for central incisor

Dental implant for central incisor

All on X dental implants

All on X dental implants

Sinus Lifting and Dental Implants

Sinus Lifting and Dental Implants

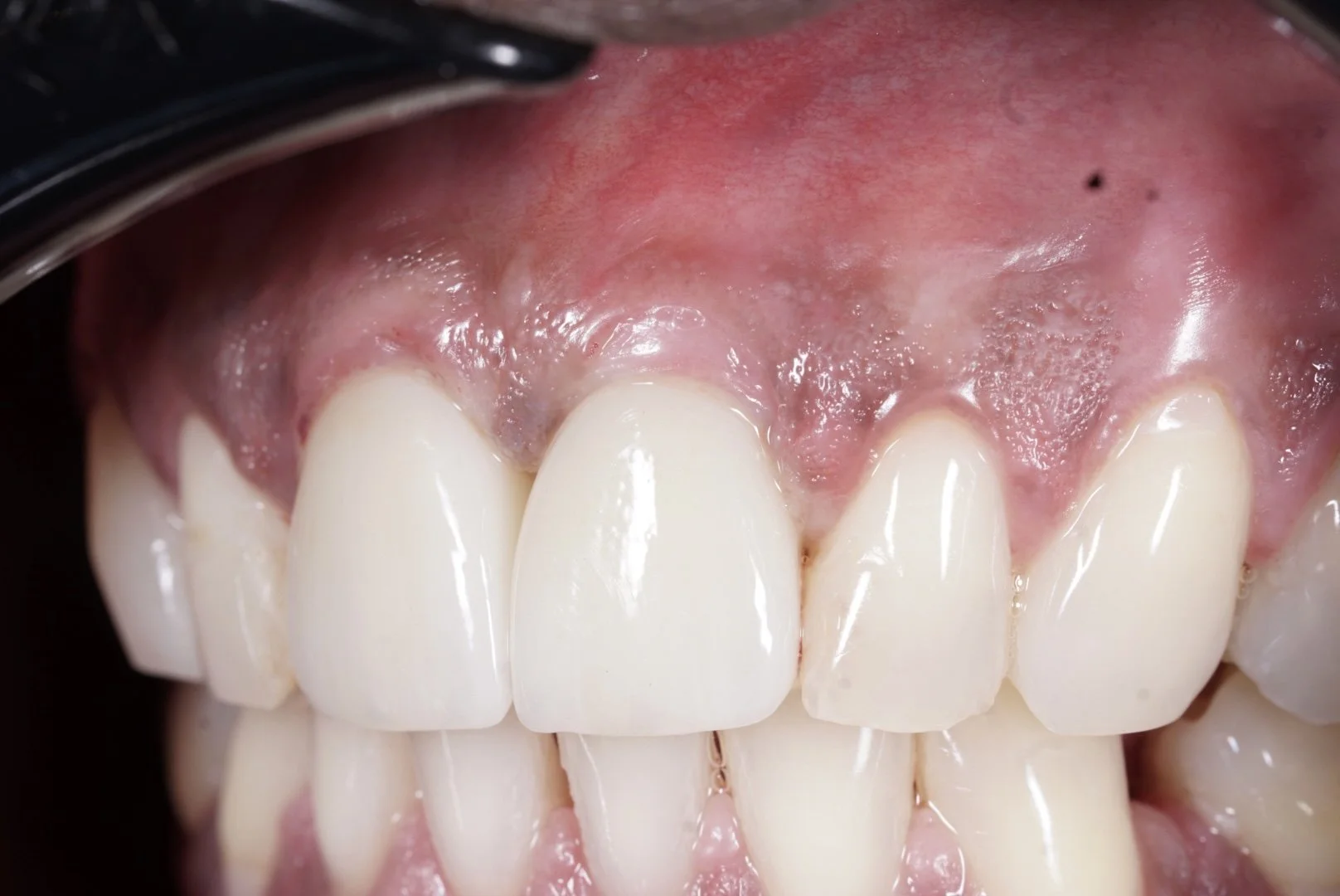
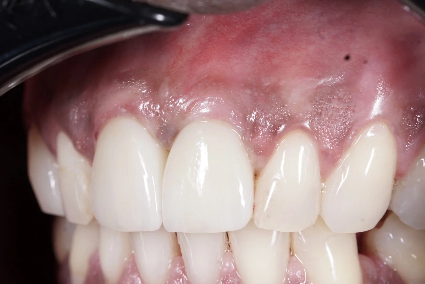
Dental Implants in Aesthetic Area

Dental Implants in Aesthetic Area

Same-Day Dental Implant and Crown in the Esthetic Zone | Atraumatic Extraction & Tissue Preservation

Same-Day Dental Implant and Crown in the Esthetic Zone | Atraumatic Extraction & Tissue Preservation

Quick Links

Implant Dentistry Toronto
About Dr. Onur Cavus
Dental implants in Toronto
Wisdom Teeth Removal in Toronto
FAQs
Sinus Lifting in Toronto
Sedation Dentistry in Toronto
All on 4 and Full Arch Implants in Toronto
Contact & Location

Dr. Onur Cavus, BDS, PhD

General Dentist in Toronto | Certified in IV Sedation

Book a Consultation

Dr. Cavus currently sees patients at Dentalship Toronto,

4750 Yonge St 322 (3rd floor), Toronto, ON M2N 0J6

(437) 808-0888

Disclaimer

The information provided on this website is for general informational purposes only and should not be construed as professional dental advice. For personalized advice and treatment options, always consult with a qualified dental professional.

All images on this site are owned by Dr. Cavus and are used with the consent of the individuals featured. Unauthorized use or reproduction of any content, including images, is strictly prohibited.

Dr. Cavus is not responsible for any actions taken based on the content of this website. The information provided is not intended to diagnose or treat any medical conditions.

© 2025 Dr. Onur Cavus. All rights reserved. | Privacy Policy | Terms & Conditions

Implant Dentistry Toronto — Comprehensive Dental Care with Surgical Expertise.