Dental Implant in the Esthetic Zone - Case #1
Immediate Placement, Socket Gap Graft, Connective Tissue Grafting and Immediate Provisional Crown
A single missing front tooth in a high smile-line demands precision, biological respect, and esthetic vision. This case highlights how immediate implant placement with soft-tissue preservation can achieve a natural and seamless result that blends perfectly with the surrounding teeth and gums.
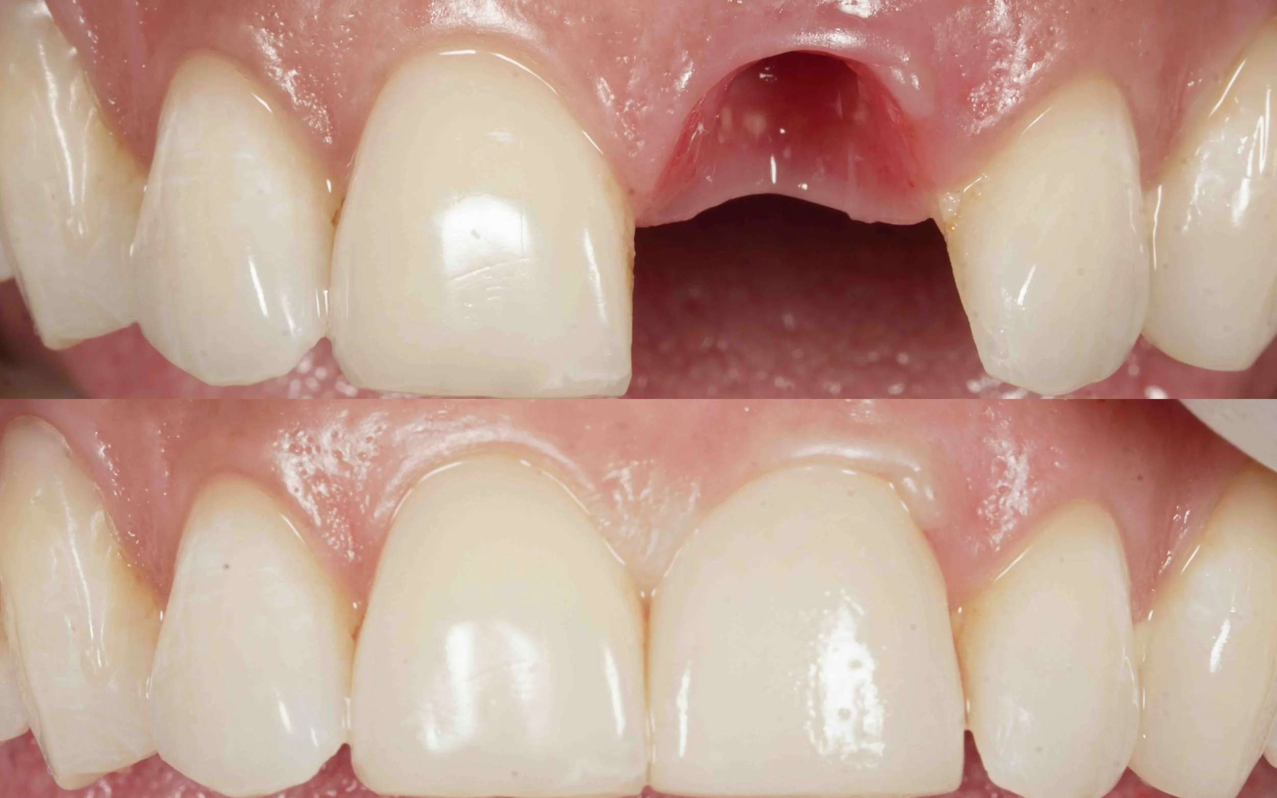
A patient presented with a fractured upper left central incisor and a high smile line — a situation that demands precise implant positioning and soft-tissue management to ensure a natural appearance.
For esthetic zone implant cases, Dr. Onur Cavus’s goal is to make the replacement tooth indistinguishable from the natural dentition — both in color and in the way the gum tissues frame the tooth.
Treatment included atraumatic extraction, immediate implant placement, socket gap grafting to preserve bone, and connective tissue grafting through a minimally invasive tunnel approach. A custom-designed immediate provisional crown was delivered to maintain soft tissue contours and provide an instant esthetic result.
After osseointegration and complete soft-tissue maturation, a final digital crown was fabricated to blend seamlessly with the adjacent tooth and gingival architecture — restoring both function and confidence.
Fractured upper left central incisor in patient with high smile line requiring esthetic zone dental implant.
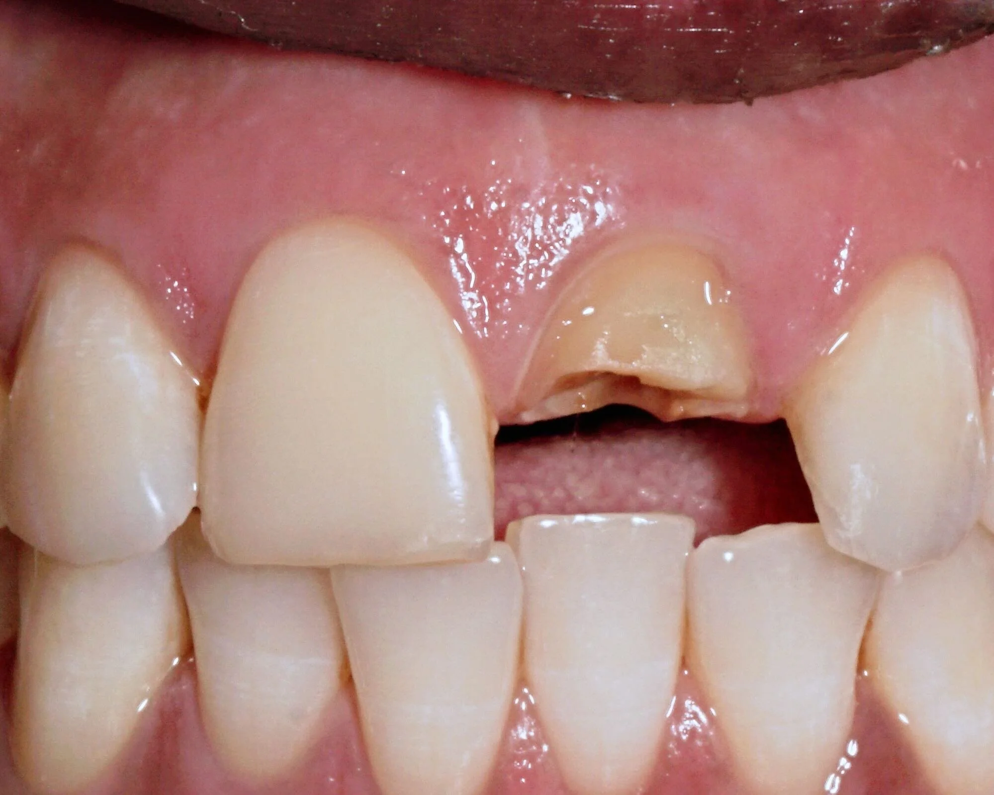
Immediate implant placement with socket preservation and connective tissue grafting performed using a minimally invasive tunnel technique in Toronto. The image shows the harvested connective tissue graft from the patient’s palate prior to placement.
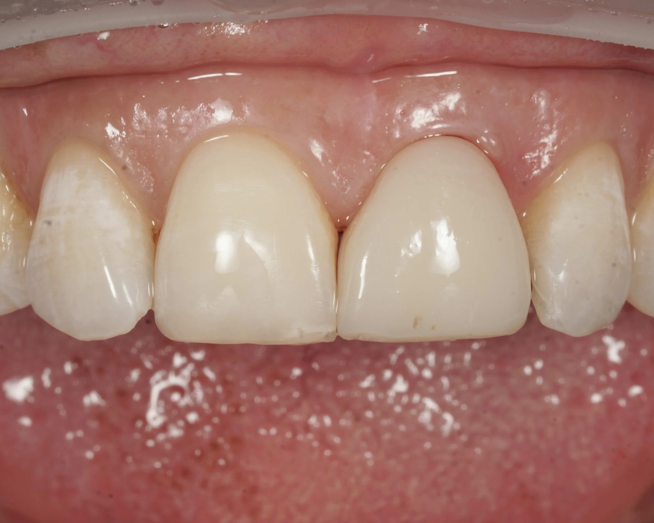
Immediate provisional crown placed after implant surgery to preserve gingival contours and smile esthetics
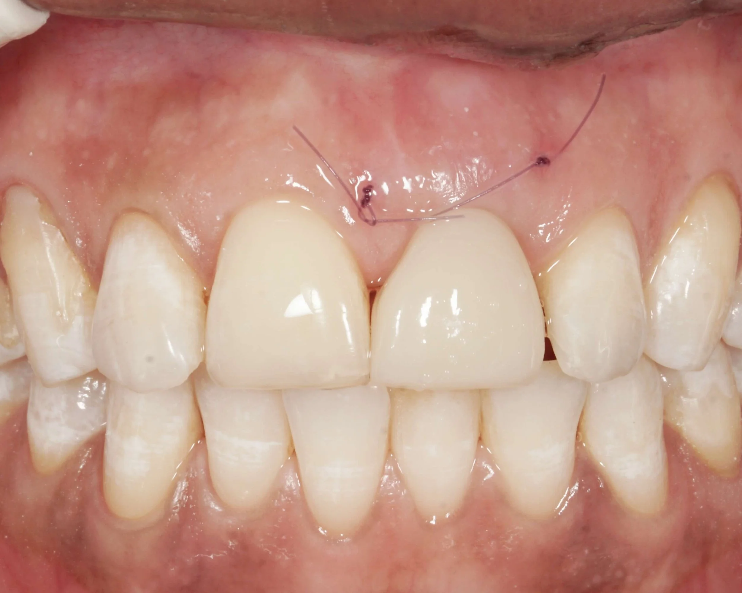
Soft tissue maturation following esthetic zone implant placement and grafting procedure in Toronto and North York.
Emergence profile achieved following immediate implant placement, socket graft, and connective tissue graft — ensuring natural soft-tissue shape for the final crown.
Emergence profile achieved following immediate implant placement, socket graft, and connective tissue graft — ensuring natural soft-tissue shape for the final crown.
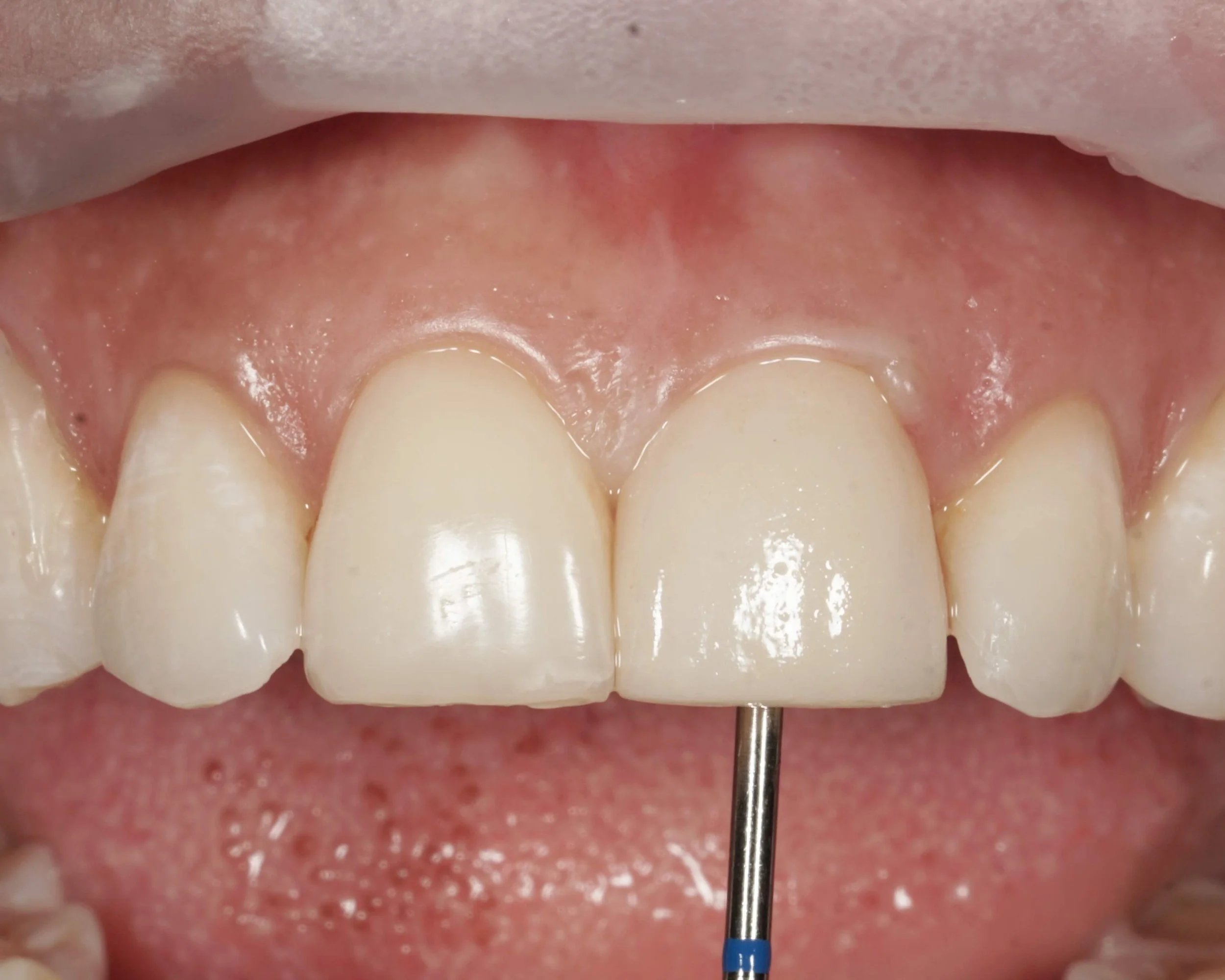
Following tissue healing digital impressions taken to digitally fabricate the screw-retained ceramic implant crown.
Following tissue healing digital impressions taken to digitally fabricate the screw-retained ceramic implant crown.
Final ceramic implant crown seamlessly matching adjacent tooth and gum line after esthetic zone dental implant by Dr. Onur Cavus.
Final ceramic implant crown seamlessly matching adjacent tooth and gum line after esthetic zone dental implant by Dr. Onur Cavus.
Final ceramic implant crown seamlessly matching adjacent tooth and gum line after esthetic zone dental implant by Dr. Cavus | Implant Dentistry Toronto.
Dental Implant in the Esthetic Zone by Dr. Cavus at Implant Dentistry Toronto
Case Overview
Patient Concern:
Broken upper left central incisor after trauma (high smile-line, esthetic zone).
Treatment Goals:
Restore function and esthetics while maintaining gum contour and papilla integrity.
Main Procedures:
Atraumatic extraction, immediate implant placement, socket gap graft, connective tissue graft (tunneling approach), immediate provisionalization, digital final crown.
Clinical Challenges
High smile-line — full gum visibility during smiling.
Thin gingival biotype with risk of recession.
Adjacent natural tooth with intact papillae that must be preserved.
Need for immediate esthetics and soft-tissue stability.
Key Takeaways
Immediate implant placement can be predictable in esthetic areas with careful planning.
Soft-tissue grafting is essential for long-term stability in thin biotypes.
Digital provisional crowns play a critical role in shaping tissue contours.
Related Topics - Internal Links
Treatment Approach
1. Atraumatic Extraction
Preserving the alveolar bone and soft-tissue scallop to maintain the natural gingival outline.
2. Immediate Implant Placement
Implant positioned with 3D precision following extraction, ensuring ideal emergence profile and primary stability.
3. Socket Gap Grafting
Gap between implant and socket walls filled with bone substitute to prevent ridge collapse and maintain volume.
4. Connective Tissue Graft (CTG)
Minimally invasive tunneling technique performed to thicken soft tissue and prevent long-term recession in thin biotype areas.
5. Immediate Provisionalization
A custom temporary crown placed to preserve papilla and soft-tissue contour during healing.
“Following immediate placement and completion of socket grafting and CTG, a digital impression was taken, and a lab-fabricated provisional crown designed to fit the original socket anatomy was delivered within days.”
6. Final Restoration
After full osseointegration and tissue maturation, the final digital crown was fabricated and placed — matching the contralateral incisor in shape, shade, and gingival margin.
Interested in dental implants in Toronto or North York?
Schedule your consultation with Dr. Onur Cavus, BDS, PhD, to explore minimally invasive implant solutions designed for natural, long-lasting results.
📍 Dentalship, 4750 Yonge St #322, North York, Toronto