All-on-X, Full-Arch Dental Implants
Upper and Lower All-on-5 Full-Mouth Restoration
Comprehensive fixed implant restoration for function, comfort, and a natural smile.
A patient with failing dentition and functional discomfort sought a permanent, esthetic solution to restore chewing ability and smile confidence. This case demonstrates a complete transformation using the All-on-X concept for both arches — achieving immediate function, natural esthetics, and a confident smile through meticulous planning and prosthetic execution.
Upper and Lower All-on-5 Full-Arch Case Presentation
The patient presented with extensive tooth loss, severe wear, and compromised esthetics. After clinical and radiographic evaluation, a dual-arch full-implant rehabilitation was planned using five implants per arch, eliminating the need for bone grafting while providing optimal support and load distribution.
Following atraumatic extractions and alveoloplasty, five implants were placed in each arch and restored with fixed provisional bridges. The final monolithic zirconia prostheses were designed digitally and customized to closely match the patient’s preferred natural tooth shade.
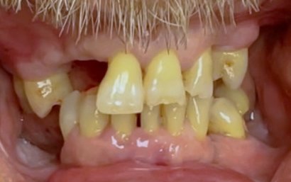
Before All on X. Initial presentation showing severe tooth wear and esthetic imbalance.
Lower arch following placement of five implants with multi-unit abutments.
Upper arche following placement of five implants with multi-unit abutments.
Verification jig for upper jaw ensuring accurate alignment and passive fit before restoration.
Verification jig for lower jaw ensuring accurate alignment and passive fit before restoration.
All on X PMMA provisional restorations in a brighter shade, allowing the patient to test esthetics and function.
All on X PMMA provisional restorations inserted, they function as long term temporary dentures allowing the patient to test esthetics and function.
Side-view of All on X PMMA provisional restorations inserted, they function as long term temporary dentures allowing the patient to test esthetics and function.
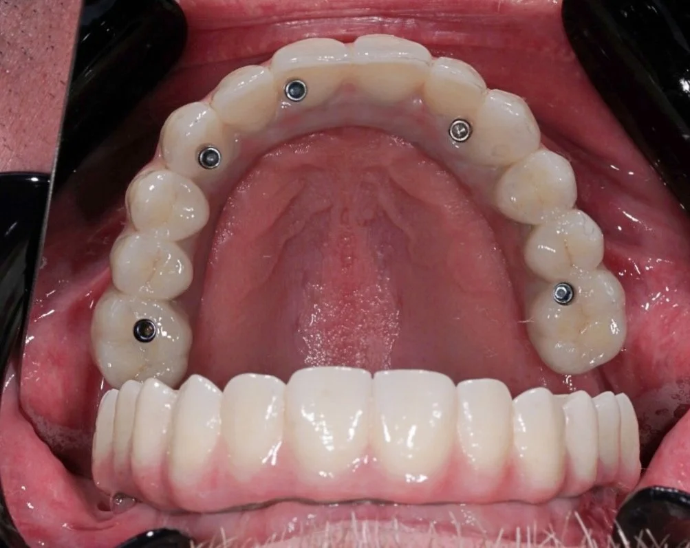
All on 5 denture. The screws indicate where implants are positioned for the best load distribution, a consept called as anterior-posterior spread.
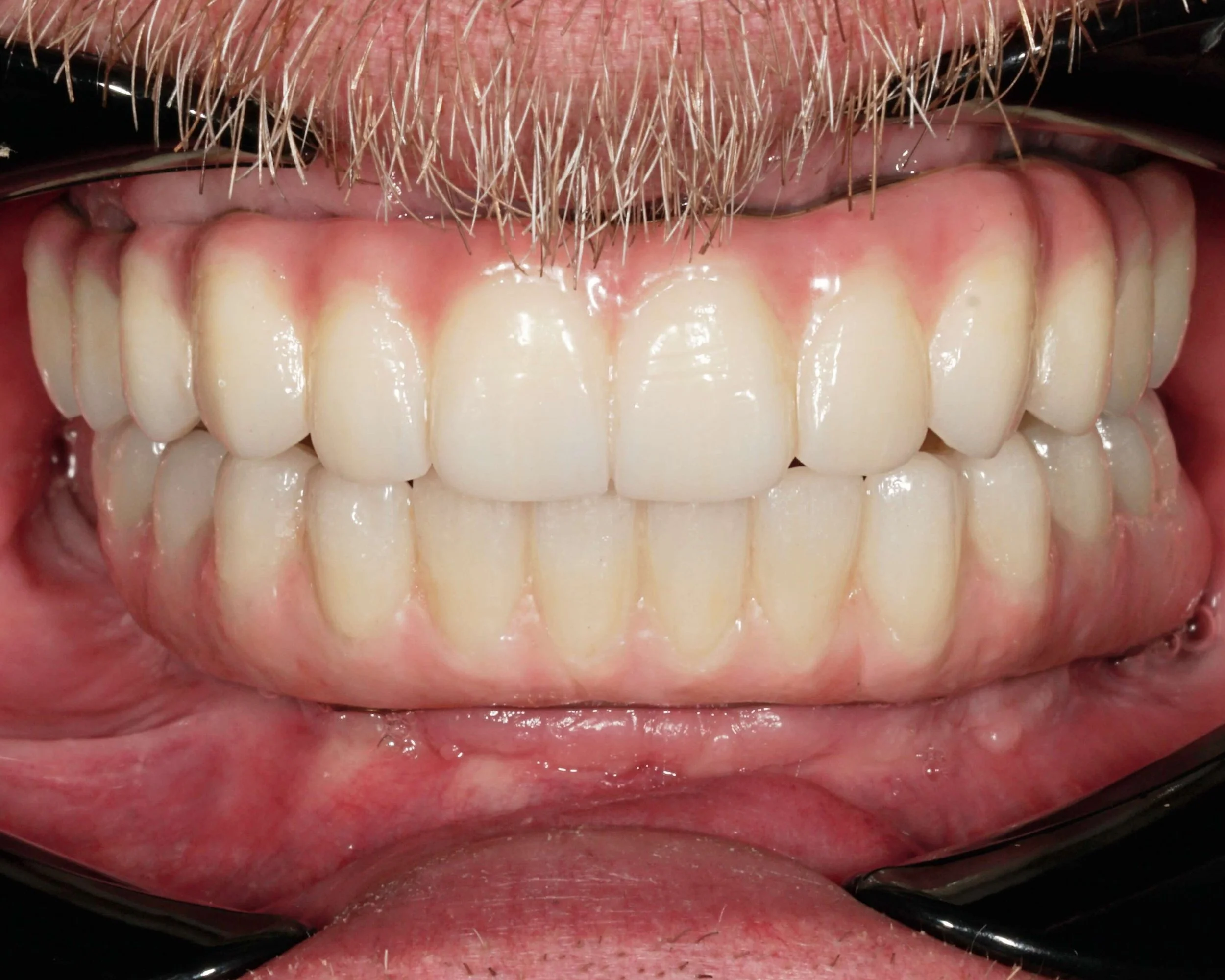
All on X (All on 5 in this case) final monolithic zirconia restorations reflecting the patient’s desired natural shade and improved harmony.
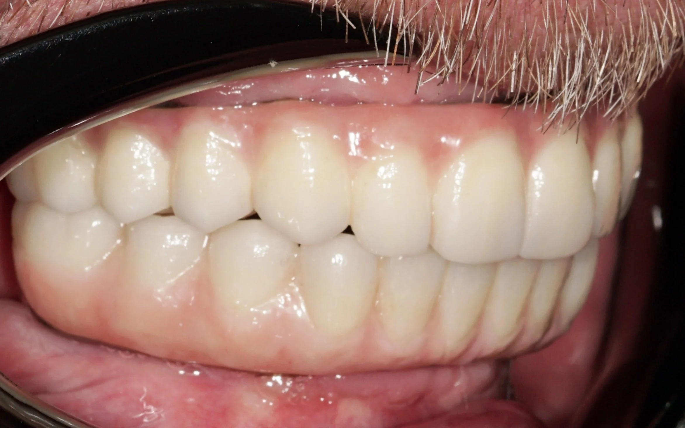
Side-view of All on X (All on 5 in this case) final monolithic zirconia restorations reflecting the patient’s desired natural shade and improved harmony.
inal smile showing balanced esthetics and natural coloration of the zirconia prostheses.
Surgical and Prosthetic Workflow
1. Preoperative Condition
Significant wear, misalignment, and advanced periodontal loss were present, affecting both function and esthetics.
2. Implant Placement
After extractions and ridge recontouring, five implants were placed per arch with ideal anterior-posterior spread for stability and stress distribution.
3. Intraoral Verification
Following implant osseointegration and hard and soft tissue healing, prosthetic workflow started, verification jigs confirmed passive fit of the abutments prior to prosthetic fabrication, ensuring long-term precision.
4. PMMA Restorations
Digitally fabricated PMMA provisional bridges were delivered, providing immediate function and esthetics while guiding soft-tissue healing.
5. Final Monolithic Zirconia Restorations
After complete osseointegration, final zirconia prostheses were delivered. The patient opted for a slightly darker, more natural shade to mimic his original dentition while maintaining symmetry and facial balance.
Result
The All-on-5 approach provided a predictable, minimally invasive, and esthetic solution. The final outcome restored facial support, phonetics, and chewing efficiency with lifelike results that harmonized with the patient’s facial features.
Interested in Full-Arch Implants in Toronto or North York?
Dr. Onur Cavus, BDS, PhD, provides comprehensive All-on-4 and All-on-X Full Arch Implant solutions with a focus on long-term function and esthetics. Using advanced surgical planning and digital prosthetics, each case is designed for natural results and lasting comfort.
📍 Dentalship, 4750 Yonge St #322, North York, Toronto