Dental Implants in Toronto — Restore Function, Comfort, and Confidence

Natural-Looking, Long-Lasting Solutions for Missing Teeth

Dental implants are the most advanced way to replace missing teeth — designed to look, feel, and function like natural ones.

At Implant Dentistry Toronto, Dr. Onur Cavus, BDS, PhD, provides comprehensive implant care, from single-tooth replacements to full-arch restorations, using precision surgical planning and advanced prosthetic design.

With over 18 years of clinical experience and a PhD in Oral Surgery, Dr. Cavus combines surgical expertise with restorative insight to achieve natural esthetics and long-term success.

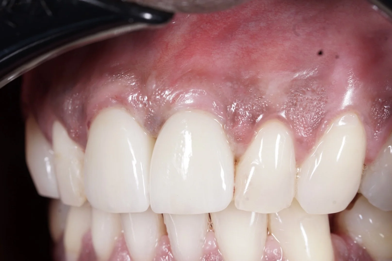
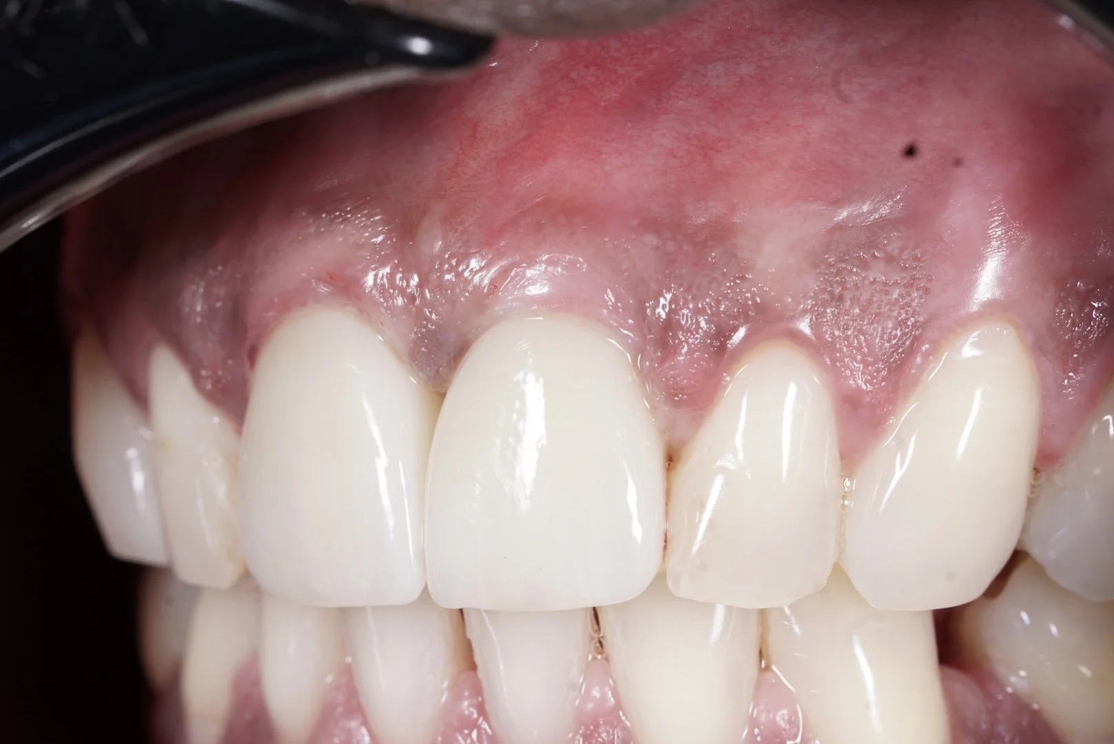
Close-up picture showing gums shaped naturally around the implant replacing missing upper left lateral incisor
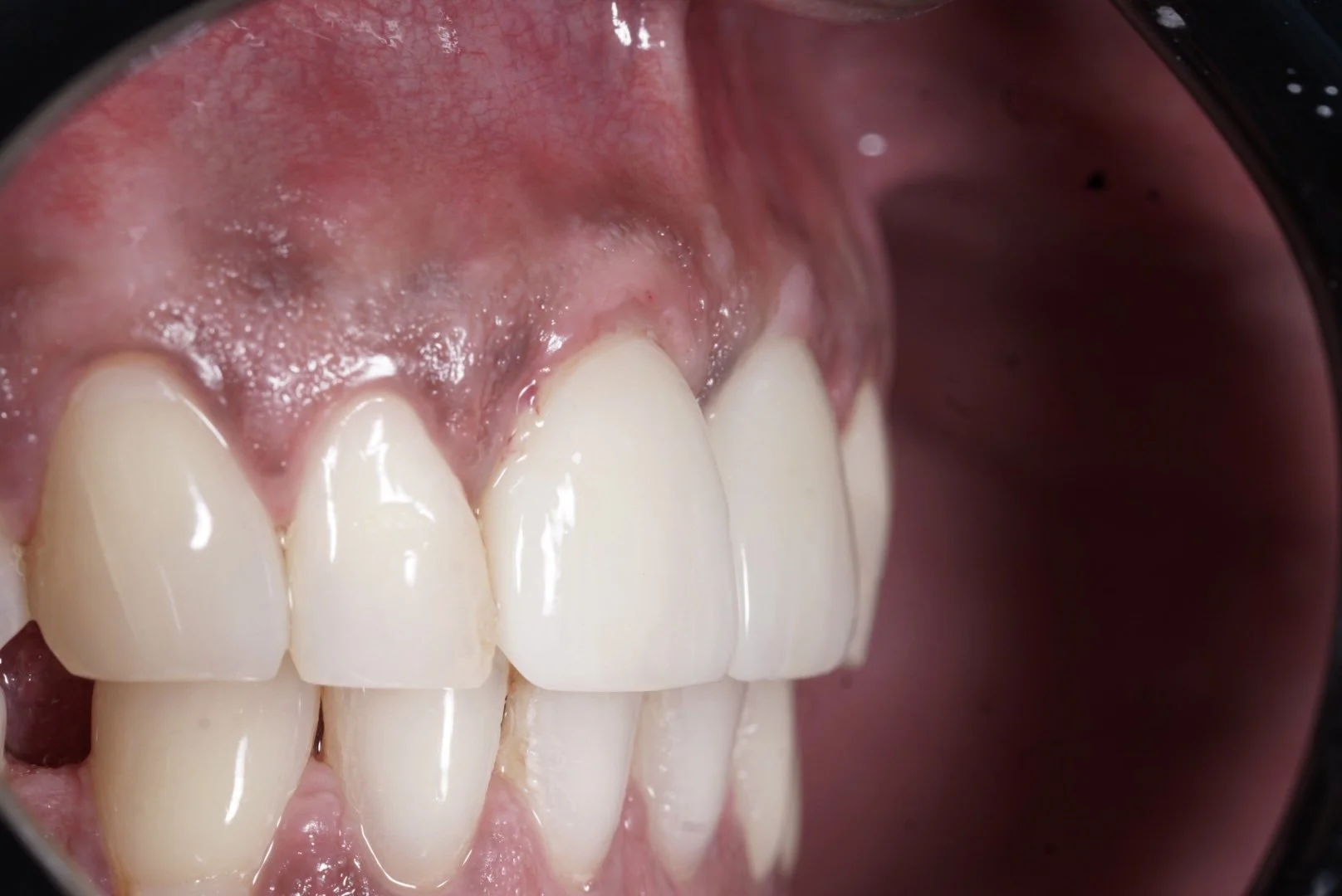
Close-up of upper teeth after implant treatment for lateral incisor. Very pleasing aesthetic outcome
Close-up picture showing a screw retained implant crown replacing missing upper left lateral incisor

What Are Dental Implants?

A dental implant is a small titanium post placed in the jawbone to replace a missing tooth root.

After placement, it integrates with your bone — a process called osseointegration — creating a stable foundation for a crown, bridge, or full-arch restoration.

Implants help:

  • Replace one or more missing teeth

  • Prevent bone loss and gum recession

  • Restore natural function and chewing efficiency

  • Preserve facial structure and smile esthetics

“Dental implants aren’t just about replacing teeth — they restore confidence, oral health, and quality of life.”

Dr. Onur Cavus

Book your implant consultation

Why Patients Choose Dr. Cavus for Implant Dentistry

Experience and Training

Dr. Cavus has practiced dentistry since 2005 and completed his PhD in Oral Surgery, with extensive experience in implantology, bone grafting, and full-arch rehabilitation.

Comprehensive, In-House Treatment

All stages of your care — planning, surgery, and restoration — are performed by Dr. Cavus himself. This ensures continuity and precision throughout your treatment.

Comfort and Sedation Options

Certified in IV and oral sedation by the RCDSO, Dr. Cavus offers safe and effective ways to keep you relaxed throughout implant surgery.

Learn more about Sedation Dentistry →

Advanced Diagnostics and Planning

Using 3D CBCT imaging, guided surgery, and intraoral scanning, every implant is placed with precision and accuracy.

Dental Implants — Common Patient Questions

1. How long does it take to complete a dental implant treatment?

The duration depends on the individual case.

For many patients, the process—from implant placement to final crown—takes about three to six months.

This allows time for the implant to integrate with the bone and ensure long-term stability.

In some cases, such as when bone quality is excellent, immediate placement and loading may shorten this timeline.

2. What materials are dental implants made of?

Most dental implants are made from titanium or titanium alloys, known for their strength and biocompatibility.

These materials integrate safely with bone (a process called osseointegration) and have decades of clinical success.

For patients seeking metal-free alternatives, zirconia implants may also be an option in selected cases.

3. Will my dental implant look different from my natural teeth?

Dental implants are designed to look and function as closely as possible to natural teeth.

Dr. Cavus carefully plans each case to achieve harmony in shape, shade, and gum contour.

In esthetically sensitive areas, he may also perform soft-tissue grafting or use temporary restorations to guide gum healing for a more natural appearance.

Individual results vary depending on tissue anatomy, bone structure, and overall oral health.

4. What can I eat after getting a dental implant?

During the first few days, a soft-food diet is recommended to protect the surgical area and promote healing.

As comfort improves, you can gradually return to normal eating habits.

Once the implant has fully integrated, you’ll regain full chewing function comparable to natural teeth.

5. How do I clean and care for a dental implant?

Implants require the same level of daily care as natural teeth — brushing twice daily, interdental cleaning, and regular professional hygiene visits.

Avoid using metal picks or abrasive toothpaste.

A water flosser and soft-bristled toothbrush are ideal for maintaining gum health around the implant.

6. What happens if an implant fails to integrate?

Although rare, implant failure can occur due to infection, smoking, uncontrolled systemic conditions, or heavy biting forces.

If integration doesn’t occur, the implant can be replaced after the area heals.

With proper case selection, technique, and maintenance, the success rate exceeds 95%.

Dental X-ray showing dental implants and natural teeth.
Dental X-ray showing a dental implant between two natural teeth.

Comfort and Safety During Implant Surgery

Implant surgery is performed with a gentle approach and meticulous attention to detail.

Patients who experience anxiety or prefer enhanced comfort can choose IV sedation or oral sedation, administered safely by Dr. Cavus.

→ Explore Sedation Options →

Types of Dental Implant Treatments

Single Tooth Implants

Replace a missing tooth with a single implant and crown — restoring appearance and function without affecting neighbouring teeth.

Multiple Tooth Implants / Implant Bridges

For patients missing several adjacent teeth, implant-supported bridges provide stability and comfort superior to traditional bridges.

Full Arch Implants (All-on-4 / All-on-X)

A fixed full-arch restoration supported by four to six implants — ideal for patients missing most or all teeth.

Learn More About All on Four and Full Arch Implants
Dental X-ray of jaw with lower jaw all on four implants and bridge
Dental implant prosthesis with artificial gums and teeth on a reflective surface. Full arch denture, All on four denture, Malo Bridge, All on Four Bridge, Full Arch Implant Bridge

Implant Placement and Healing Process

1. Consultation & 3D Planning

Your initial appointment includes a full examination and CBCT scan to evaluate bone and soft tissue anatomy.

2. Surgical Placement

The implant is placed precisely into the jawbone under local anesthesia or IV sedation.

3. Healing and Integration

Over the next few months, the implant fuses with the bone. Temporary restorations or healing abutments may be used during this period.

4. Final Restoration

A custom abutment and crown are attached, designed to blend perfectly with your natural smile.

Bone and Soft-Tissue Enhancement When Needed

When bone or gum volume is insufficient, bone grafting or soft-tissue grafting may be performed to ensure a strong and esthetic result.

These procedures rebuild the foundation for successful, long-lasting implants.

Learn More About Bone Grafting
Learn More About Sinus Lifting

Aesthetic Zone and Immediate Implants

In highly visible areas, such as the front teeth, implants require extra precision to achieve a natural look.

Dr. Cavus uses immediate placement, provisional crowns, and soft-tissue sculpting to preserve the gum line and papilla.

implant rehabilitation for 2 broken central incisors is a very challenging case in the aesthetic zone
Learn more about Aesthetic Zone Implants
Natural look and perfect aesthetic outcome after dental implants for central incisors.
Natural look and perfect aesthetic outcome after dental implants for central incisors.
Book Your Consultation

If you are missing teeth or want to replace loose dentures with stable, natural-looking implants, schedule your personalized consultation with Dr. Onur Cavus today.

Current Location: Dentalship, 4750 Yonge St 322 (3rd floor), North York, ON M2N 0J6

📞 Call: (437) 808-0888

Frequently Asked Questions about Dental Implants

  • Dental implant surgery is performed under local anesthesia, and patients typically report little to no pain during the procedure.

    Mild soreness afterward is normal and can be managed with prescribed medication and simple home care. Most patients describe it as easier than expected.

  • With proper oral hygiene and regular professional care, dental implants can last very long, often for life.

    The key to longevity is a healthy foundation — proper bone support, precise placement, and consistent maintenance.

  • In some cases, yes. When bone quality and implant stability allow, an implant and temporary crown can be placed immediately after extraction — called immediate loading or same-day implants.

    This approach preserves the gum contour and shortens treatment time.

    → Learn more about Immediate & Same-Day Implants →

  • A lack of bone doesn’t mean implants aren’t possible.Procedures like bone grafting or sinus lifting rebuild the jaw structure so implants can be safely and predictably placed.

    → Learn more about Bone Grafting and Sinus Lifting

  • Yes. Dental implants are one of the safest and most predictable procedures in modern dentistry, with success rates exceeding 95% when performed by an experienced clinician.

    All materials used are biocompatible and rigorously tested.

  • Absolutely. For patients who prefer a more relaxed experience, Dr. Cavus provides IV sedation or oral sedation, ensuring comfort throughout the procedure.

    → Learn more about Sedation Dentistry →