The Benefits and Process of Immediate Implant Placement and Immediate Loading: Transforming Smiles with Dental Implants

Dental implants have revolutionized the way people think about tooth replacement. Unlike traditional dentures or bridges, dental implants provide a permanent solution for missing teeth that can improve not only the function but also the aesthetics of one's smile. The essence of a dental implant lies in its ability to form a sturdy and direct bond with the jawbone, a process known as osseointegration. This bond ensures that the implant behaves much like a natural tooth root, providing stability and support for prosthetic teeth.

Over time, the adoption of dental implants has seen significant advancements, with immediate implant placement and immediate loading being one of the most notable developments, greatly enhancing the patient experience and outcomes.

The journey towards a complete and confident smile begins with understanding how dental implants work and considering the variety of options available. As such, dental professionals continue to explore new techniques and technologies to offer the best possible care to individuals seeking dental restoration.

The Process of Immediate Implant Placement

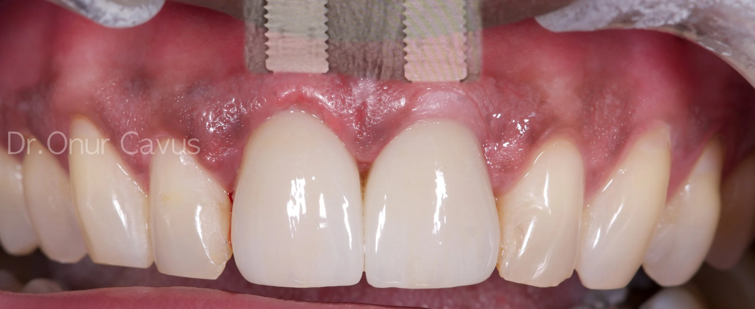
Immediate implant placement is a technique that allows for the insertion of a dental implant into a tooth extraction site immediately after the tooth has been removed. This approach is in contrast to the traditional method, which often requires a waiting period of several months after tooth extraction for the site to heal before implant placement can occur.

The process begins with meticulous planning, which typically involves dental imaging and evaluations to ensure the patient’s jawbone is adequate to support an implant. If the dentist determines the candidate is suitable, the next step is the extraction of the tooth. Following the extraction, the dental implant is inserted directly into the extraction socket. This method reduces the number of surgical procedures and the overall treatment time.

Precision and skill are paramount during immediate implant placement, as the dentist must carefully align the implant with the correct orientation for optimal function and aesthetics. Additionally, the dentist must ensure that the implant is stable within the bone, a factor crucial for the success of immediate loading, which may follow the placement procedure.

Benefits of Immediate Implant Placement

The advantages of immediate implant placement are both functional and psychological. One of the primary benefits is the reduction in treatment time. By eliminating the wait between extraction and implant placement, patients can enjoy a quicker path to tooth restoration. Additionally, immediate implant placement often results in less trauma to the surrounding tissues since the procedure consolidates two surgical events into one.

Another benefit is the preservation of jawbone structure. When a tooth is removed, the natural process of bone resorption begins, which can lead to a loss of bone volume and density. By placing the implant immediately, the natural stimulation of the bone by the tooth root is mimicked, helping to maintain bone integrity.

Patients also appreciate the aesthetic benefits. Immediate implant placement can allow for a temporary prosthetic to be placed on the same day, which means individuals can leave the dentist's office without a noticeable gap in their smile. This aspect is particularly important for front teeth, where appearance is paramount.

Immediate Loading: What Is It and How Does It Work?

Immediate loading is a dental technique where a crown, bridge, or denture is attached to a dental implant immediately after its placement, rather than waiting for the implant to integrate fully with the jawbone. This method enables patients to have functional and aesthetically pleasing teeth almost instantly following the implant surgery.

The process of immediate loading begins with the dental professional ensuring that the implant is sufficiently stable in the jawbone at the time of placement. If stability is confirmed, a provisional crown or prosthesis is attached to the implant. This provisional restoration is designed to be less functional than the final prosthesis but allows the patient to have a full smile while the implant is integrating with the bone.

Immediate loading has strict criteria, and not every patient is a suitable candidate. The quality and quantity of the jawbone, the patient's overall oral health, and the location of the implant are all factors that must be considered. When successful, immediate loading can significantly enhance patient satisfaction by reducing the number of visits to the dentist and shortening the overall duration of the treatment.

Immediate Implant Placement and Loading: Transforming Smiles

The combination of immediate implant placement and immediate loading has a transformative impact on patients' smiles and lives. This advanced technique allows individuals to walk into a dental clinic with a compromised tooth and leave with a fully functioning and visually appealing implant in place. The psychological benefits of this cannot be overstated, as it offers an instant boost to self-esteem and quality of life.

The transformation is also physical. Immediate implant placement and loading provide a solution that closely mimics the natural function of teeth, allowing for normal speech and chewing activities almost immediately. The technology and techniques used in this approach also contribute to more natural-looking results, as the immediate placement helps maintain the natural contour of the gums and jawline.

For those who have suffered from tooth loss for an extended period, the change can be particularly dramatic. The ability to restore their smile in a single day often leads to improved social interactions and a newfound confidence that may have been lacking due to self-consciousness about missing teeth.

Dental Implant Cost in Toronto

The financial investment in dental implants is a consideration for many individuals. In Toronto, as in many metropolitan areas, the cost of dental implants can vary widely based on several factors. These include the expertise of the dental professional, the complexity of the case, the materials used for the implant and the prosthetic, and any additional procedures that may be necessary, such as bone grafting or socket grafting.

While the upfront cost may seem daunting, it is essential to consider the long-term value of dental implants. Unlike other tooth replacement options, dental implants are designed to last a lifetime with proper care and maintenance.

They can prevent further dental complications and the need for additional treatments in the future, potentially saving money over time.

Patients are encouraged to discuss the cost with their dental provider and explore the various payment and financing options that may be available. It is also worth inquiring about insurance coverage, as some plans may cover a portion of the implant procedure.

Additional Procedures: Bone Grafting and Connective Tissue Grafting

In some cases, additional procedures such as bone grafting and connective tissue grafting may be necessary to ensure the success of a dental implant. Bone grafting is a procedure used to increase the amount of bone in an area of the jaw where bone density or volume is insufficient to support an implant. This situation can arise due to bone loss from periodontal disease, tooth extraction, or injury.

Connective tissue grafting, on the other hand, involves the augmentation of soft tissue around the implant site. This procedure is often used to improve the aesthetics of the gum line or to correct recessions that may expose the implant or its abutment.

Both bone grafting and connective tissue grafting require additional healing time and can add to the overall cost and duration of the implant process. However, they are vital in creating a solid foundation for the implant and ensuring the longevity and aesthetic appeal of the dental restoration.

Tooth in a Day: Advantages and Considerations

The concept of "tooth in a day," also known as immediate implant placement and loading, offers several advantages.

The most obvious benefit is the immediate restoration of the patient’s smile and dental function, which can be a significant psychological uplift. Another advantage is the reduced number of surgical interventions, which can lead to faster recovery times and less discomfort for the patient.

However, there are important considerations to take into account. "Tooth in a day" requires careful patient selection and planning. The quality of the existing bone, the location of the missing tooth, and the patient's oral and overall health are all critical factors in determining if this treatment option is viable.

Patients must also commit to following strict post-operative care instructions to ensure the success of the implant. The provisional crown or denture placed during this procedure is typically softer and designed to exert minimal pressure on the implant, allowing for proper integration with the jawbone.

Dental Implants and Sport Injuries

Sport-related injuries can often result in dental trauma, including tooth loss. Dental implants provide a durable and long-lasting solution to restore the smiles of athletes who have experienced such injuries. The immediacy of implant placement and loading is particularly advantageous for athletes, as it minimizes the time they are out of competition and helps them return to their sport with confidence.

The strength and stability of dental implants make them an excellent option for athletes, who require a restoration that can withstand the rigors of high-impact activities. Furthermore, the use of a custom-fitted mouthguard following implant placement can help protect the implant and surrounding teeth from future injuries.

It is crucial for athletes to discuss their specific needs and lifestyle with their dentist to ensure the chosen dental implant solution aligns with their active lifestyle and provides the necessary protection and durability.

Implant Surgery and the Importance of Proper Aftercare

Implant surgery is a highly technical procedure that requires precision and expertise. Once the surgery is complete, the importance of proper aftercare cannot be overstated. Adhering to the dentist's post-operative instructions is critical to the success of the implant.

Aftercare typically involves taking prescribed medications to manage pain and prevent infection, maintaining a soft food diet to avoid undue pressure on the implant, and practicing excellent oral hygiene to ensure the surgical site remains clean and free of debris. Regular follow-up appointments are also essential to monitor the healing process and the integration of the implant with the jawbone. Patients who prioritize aftercare can significantly reduce the risk of complications, such as implant failure or infection, and can enjoy the full benefits of their dental implant for many years to come.

Different Types of Implant Prosthesis

When it comes to dental implants, there are various types of prostheses available to meet the diverse needs of patients. Single crowns are used to replace individual missing teeth, while bridges can replace multiple adjacent teeth. For those missing all their teeth, full arch dentures anchored to dental implants provide a stable and secure solution.

Each type of prosthesis is designed to replicate the look and function of natural teeth as closely as possible. The materials used, such as porcelain or zirconia, are chosen for their durability and aesthetic qualities. The choice of prosthesis depends on several factors, including the number of teeth being replaced, the location of the missing teeth, and the patient's personal preferences.

The selection of the appropriate implant prosthesis is a collaborative process between the patient and the dental professional, ensuring the final outcome meets the functional needs and aesthetic desires of the individual.

Temporary Crowns and Their Role in Immediate Implant Placement

Temporary crowns play a crucial role in the process of immediate implant placement. They serve as a placeholder while the dental implant is integrating with the jawbone, allowing patients to maintain a complete smile during this period.

Additionally, temporary crowns can help shape and preserve the gum tissue around the implant site, which is important for the final aesthetic outcome.

The design of the temporary crown is crucial, as it must be crafted to ensure it does not transmit excessive forces to the healing implant. Typically, these crowns are made of softer materials and are less functional than the permanent restoration that will eventually replace them.

The use of a temporary crown also gives the dental professional and patient an opportunity to assess the look and feel of the prosthesis, providing valuable information that can be used to refine the permanent prosthesis for an optimal fit and appearance.

Socket Grafting and Its Impact on Long-Term Success

Socket grafting is a procedure often performed at the time of tooth extraction to prepare for the future placement of a dental implant. It involves filling the empty tooth socket with bone graft material to preserve the bone structure and prevent collapse of the socket walls.

This procedure is particularly important for the long-term success of dental implants, as it helps maintain the volume and density of the jawbone required for implant stability. A well-preserved bone structure also contributes to a better aesthetic result, as it supports the soft tissues around the implant in a more natural way.

The impact of socket grafting on the success of dental implants is well-documented, and it is considered a standard procedure in many cases of tooth extraction where future implant placement is anticipated. Preventing Bone Resorption with Immediate Implant Placement

One of the most significant challenges in dental implantology is the prevention of bone resorption following tooth loss. Immediate implant placement is an effective strategy to combat this issue. By placing the dental implant into the extraction site right away, the natural stimulation of the jawbone that was once provided by the tooth root is maintained, which helps to preserve bone structure.

The prevention of bone resorption is not only important for the stability and longevity of the implant but also for the preservation of the facial structure. Loss of jawbone can lead to a sunken appearance, which can be aging and aesthetically unpleasing.

Immediate implant placement offers a proactive approach to maintaining jawbone health and can eliminate the need for more extensive bone grafting procedures in the future, saving patients time and discomfort.

Advantages of Flapless Surgery and Digital Impression Technology

Flapless surgery is a minimally invasive technique used in dental implant placement. It involves creating a small punch in the gum tissue through which the implant is placed, rather than lifting a flap of gum to expose the bone. This approach results in less postoperative discomfort, reduced swelling, and a faster healing process.

Additionally, the use of digital impression technology has greatly improved the precision and efficiency of implant procedures. Digital impressions allow for highly accurate 3D models of the patient’s mouth, which can be used to plan the surgery and design the prosthetics with a level of detail that was not possible with traditional impression methods.

The combination of flapless surgery and digital impression technology offers patients a more comfortable and convenient experience, with reduced treatment times and improved outcomes.

Guided Surgery for Precise Implant Placement

Guided surgery is a cutting-edge technique that enhances the precision of dental implant placement. Through the use of 3D imaging and computer software, dental professionals can plan the exact location, angle, and depth for the implant before the surgery takes place.

During the procedure, custom surgical guides are used to direct the dental drill and implant placement according to the pre-planned specifications. This level of precision ensures optimal implant positioning, which is critical for the function and aesthetics of the final restoration.

Guided surgery not only increases the predictability of the implant procedure but also contributes to the safety and comfort of the patient by minimizing the risk of damage to surrounding structures such as nerves and blood vessels.

Achieving Aesthetic Results with Immediate Implants

The pursuit of aesthetic excellence is a key factor in the success of dental implants. Immediate implants play a significant role in achieving aesthetically pleasing results, as they allow for the immediate preservation of the gum and bone contours following tooth extraction.

By avoiding the collapse of soft and hard tissues that often occurs after tooth loss, immediate implants provide a foundation for a more natural-looking restoration. Additionally, the ability to place a temporary crown on the same day as the implant surgery helps to guide the healing of the gum tissue in a way that enhances the appearance of the final crown or bridge.

The focus on aesthetics extends beyond the implant itself to the design of the prosthetic. Dentists and dental technicians work together to create crowns and bridges that match the color, shape, and texture of the patient's natural teeth, ensuring a seamless integration into the smile.

The Expertise of Dr. Onur Cavus in Dental Implant Procedures

Dr. Onur Cavus is a respected figure in the field of dental implantology, known for his skillful approach to immediate implant placement and loading. With a commitment to staying abreast of the latest advancements in dental technology and techniques, Dr. Cavus provides his patients with high-quality, long-lasting solutions to tooth loss.

His expertise extends to all aspects of implant dentistry, including complex procedures such as bone grafting and connective tissue grafting, as well as the use of guided surgery for precise implant placement. Dr. Cavus's dedication to achieving both functional and aesthetic excellence has earned him a reputation for transforming smiles and enhancing the lives of his patients.

Conclusion: The Transformative Power of Dental Implants

The transformative power of dental implants is undeniable. Whether it's restoring a single tooth or providing a fullmouth reconstruction, implants offer a solution that is as close to natural teeth as possible. Immediate implant placement and loading have taken this one step further by reducing treatment times and improving patient experiences.

The benefits of dental implants extend beyond aesthetics and function; they provide a sense of normalcy and confidence that can significantly impact a person's overall well-being. With the expertise of dental professionals like Dr. Onur Cavus, patients can access state-of-the-art care that ensures the best possible outcomes.

If you are considering dental implants, or if you're looking for a swift and effective solution to tooth loss, Dr. Onur Cavus has significant experience in immediate implant placement and immediate loading. Schedule your appointment to see if you are a candidate for these life-changing procedures. Transform your smile and your life with the expertise and care you deserve.

Previous
Previous

Answering Your Burning Questions About Dental Implants and All on 4

Next
Next

Preoperative Guidance for Dental Surgery